
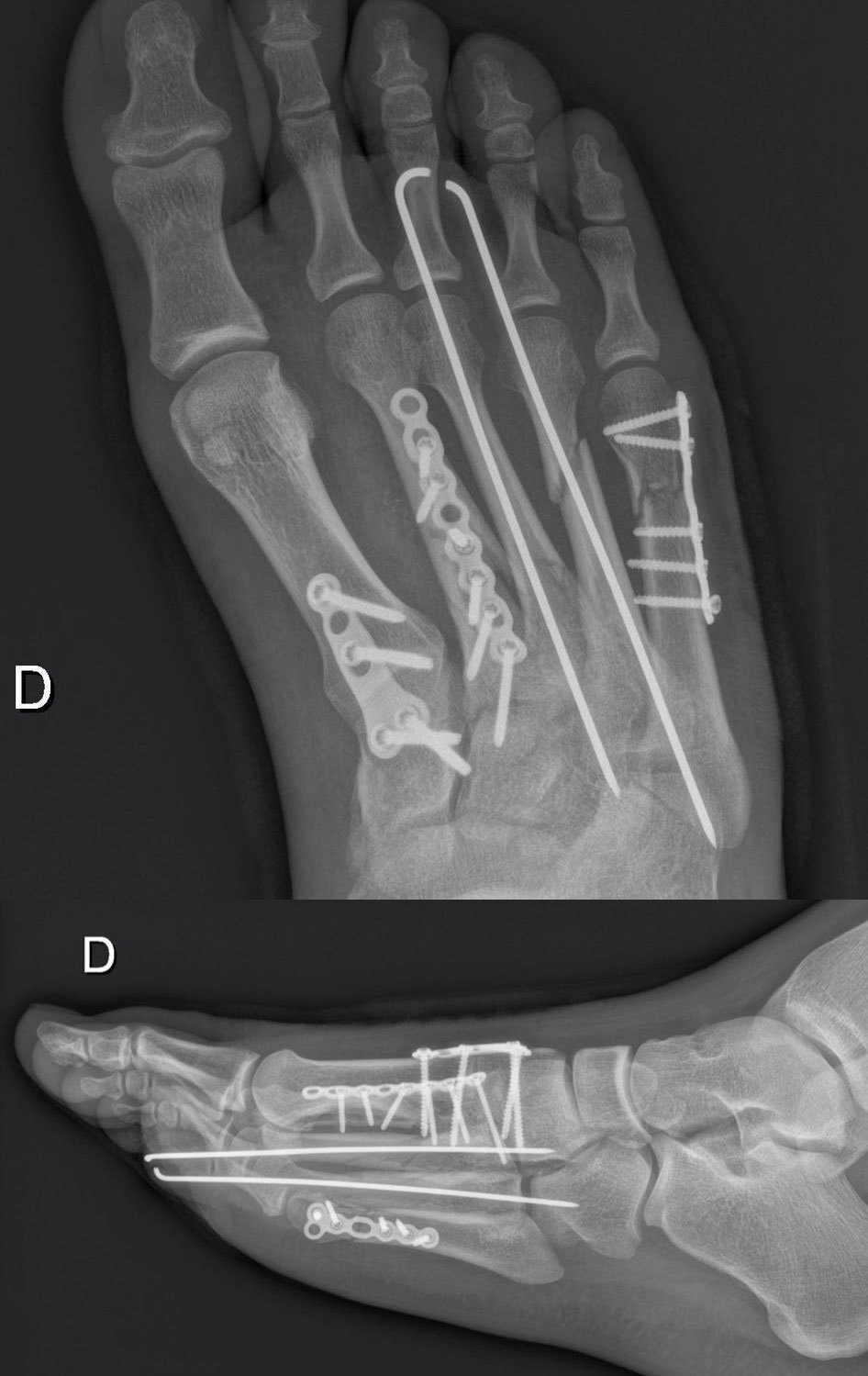
Sementara Miller dan Bautista lolos dari cedera, kaki kanan Baz mengalami beberapa patah tulang metatarsal. Pada hari Kamis (26/5), Baz pun menjalani operasi di Hospital La Tour Meyrin, Jenewa, Swiss selama 1,5 jam untuk menanamkan dua tusuk titanium, tiga plat dan 15 skrup.
Kaki kanan Loris Baz pascaoperasi di Swiss. (c) Avintia Racing
Pebalap Prancis berusia 23 tahun ini diperkirakan membutuhkan waktu selama 4-6 pekan untuk pulih, yang berarti ia harus absen dari Seri Catalunya dan uji coba pascabalap. Meski begitu Baz menargetkan untuk kembali di MotoGP Belanda yang digelar di Sirkuit Assen pada 24-26 Juni mendatang.
Pernyataan Baz dalam rilis resmi tim:
"Sangat disayangkan, karena cedera ini begitu parah, tidak mempengaruhi kesehatan, hanya saja butuh waktu lama untuk pulih. Bukan hanya satu patah tulang, tapi seluruh kaki, karena satu tilang yang tak patah justru ligamennya yang sobek. Sayang tidak ada keajaiban, kaki saya takkan sembuh dalam sepekan, jadi mustahil bisa fit untuk Barcelona. Tapi saya ingin kembali di Assen, saya akan berusaha mewujudkannya." [initial]
Loris Baz usai kecelakaan di tikungan pertama Mugello. (c) AFP
Advertisement
Berita Terkait
-
Otomotif 21 April 2026 11:16Dani Pedrosa Pensiun Jadi Wildcard di MotoGP, Merasa Waktunya Sudah Lewat
LATEST UPDATE
-
Bulu Tangkis 21 April 2026 15:42 -
Liga Italia 21 April 2026 15:41 -
Liga Italia 21 April 2026 15:34 -
Liga Inggris 21 April 2026 15:15 -
Bulu Tangkis 21 April 2026 15:03 -
Bulu Tangkis 21 April 2026 14:53
HIGHLIGHT
- Italia Cari Pelatih Baru: 7 Kandidat Pengganti Gen...
- 3 Bintang Manchester United yang Absen di Piala Du...
- Starting XI Pemain Termahal yang Absen di Piala Du...
- Bukan Cuma Lewandowski, Ini Deretan Bintang Top ya...
- Tanpa Italia hingga Nigeria, Ini Tim Besar yang Ab...
- 3 Alternatif Murah Julian Alvarez untuk Barcelona ...
- 5 Pencapaian Luar Biasa Mohamed Salah di Liverpool...
















:strip_icc()/kly-media-production/medias/5561756/original/003464100_1776759347-IMG_2185__1_.jpeg)
:strip_icc()/kly-media-production/medias/5561376/original/086256800_1776747728-unnamed__65_.jpg)
:strip_icc()/kly-media-production/medias/4391028/original/021777800_1681211946-Thumbnail_Liputan6.com-2.jpg)
:strip_icc()/kly-media-production/medias/5503052/original/005318900_1771076011-Rano_Museum.jpeg)
:strip_icc()/kly-media-production/medias/1953505/original/071520100_1519978843-1.jpg)
:strip_icc()/kly-media-production/medias/4536937/original/094743900_1691993659-Pekerja-Rumah-Tangga-7.jpg)

