
Bola.net - Foto rontgen dari cedera tulang belakang yang dialami oleh Neymar di Piala Dunia 2014 belum lama ini beredar di Internet, menunjukkan betapa seriusnya masalah yang tengah dirasakan oleh bintang Barcelona tersebut.
Neymar terpaksa mengakhiri petualangannya di Piala Dunia lebih awal ketika pemain Kolombia, Juan Zuniga, mengarahkan lutut kakinya pada sang pemain di laga perempat final Piala Dunia.

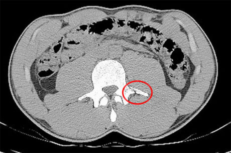
Foto yang Bolaneters saksikan di atas, sebagaimana dipublikasikan oleh Sport, menunjukkan adanya retak yang dengan amat jelas bisa dilihat di sisi kanan bawah.
Neymar sebelumnya sempat mengklaim bahwa ia bisa saja akan lumpuh seumur hidup andai retak tersebut terjadi beberapa inci lebih rendah.
Sejauh ini, Neymar sudah menjalani sesi pemulihan selama tiga pekan dan ia diperkirakan baru akan bisa bermain hingga enam atau delapan pekan mendatang. [initial]
(mir/rer)
Neymar terpaksa mengakhiri petualangannya di Piala Dunia lebih awal ketika pemain Kolombia, Juan Zuniga, mengarahkan lutut kakinya pada sang pemain di laga perempat final Piala Dunia.
Foto yang Bolaneters saksikan di atas, sebagaimana dipublikasikan oleh Sport, menunjukkan adanya retak yang dengan amat jelas bisa dilihat di sisi kanan bawah.
Neymar sebelumnya sempat mengklaim bahwa ia bisa saja akan lumpuh seumur hidup andai retak tersebut terjadi beberapa inci lebih rendah.
Sejauh ini, Neymar sudah menjalani sesi pemulihan selama tiga pekan dan ia diperkirakan baru akan bisa bermain hingga enam atau delapan pekan mendatang. [initial]
Advertisement
Berita Terkait
-
Liga Spanyol 22 April 2026 05:29 -
Liga Spanyol 22 April 2026 03:35Kylian Mbappe dan Thibaut Courtois Bisa 'Selamatkan' Musim Real Madrid
-
Liga Spanyol 22 April 2026 00:13 -
Liga Spanyol 22 April 2026 00:06Barcelona Butuh Pemimpin untuk Wujudkan Mimpi Liga Champions Hansi Flick
LATEST UPDATE
-
Liga Spanyol 22 April 2026 05:29 -
Liga Italia 22 April 2026 05:07 -
Bola Indonesia 22 April 2026 05:03 -
Liga Inggris 22 April 2026 05:00 -
Bola Indonesia 22 April 2026 04:48 -
Liga Italia 22 April 2026 04:19
BERITA LAINNYA
-
piala dunia 21 April 2026 20:26 -
piala dunia 21 April 2026 16:41 -
piala dunia 21 April 2026 10:02 -
piala dunia 21 April 2026 01:28 -
piala dunia 20 April 2026 23:15 -
piala dunia 20 April 2026 22:45
MOST VIEWED
HIGHLIGHT
- Italia Cari Pelatih Baru: 7 Kandidat Pengganti Gen...
- 3 Bintang Manchester United yang Absen di Piala Du...
- Starting XI Pemain Termahal yang Absen di Piala Du...
- Bukan Cuma Lewandowski, Ini Deretan Bintang Top ya...
- Tanpa Italia hingga Nigeria, Ini Tim Besar yang Ab...
- 3 Alternatif Murah Julian Alvarez untuk Barcelona ...
- 5 Pencapaian Luar Biasa Mohamed Salah di Liverpool...

















:strip_icc()/kly-media-production/medias/5562099/original/048442100_1776779773-IMG-20260421-WA0055.jpg)
:strip_icc()/kly-media-production/medias/5562151/original/092484300_1776790649-Prabowo_Dudung.jpg)
:strip_icc()/kly-media-production/medias/5562150/original/098720600_1776790025-IMG-20260421-WA0051.jpg)
:strip_icc()/kly-media-production/medias/5562149/original/007015300_1776789972-Brian.jpg)
:strip_icc()/kly-media-production/medias/5044531/original/048356800_1733875805-20241211-Atalanta_vs_Real_Madrid-AFP_5.jpg)
:strip_icc()/kly-media-production/medias/5562081/original/041820300_1776778145-Untitled.jpg)
